![]() |
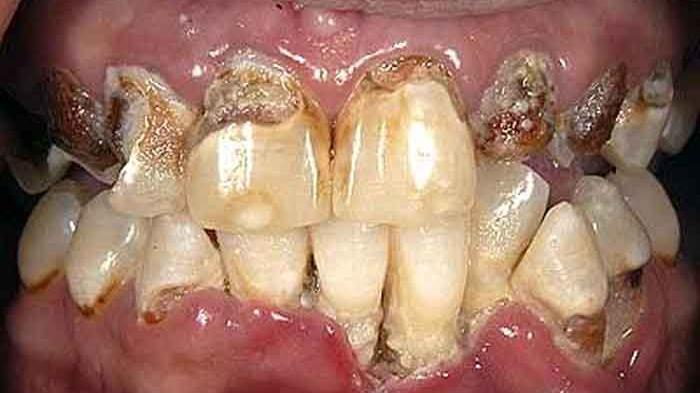
Menurut penjelasan Prof. drg. Melanie Djamil, ahli kesehatan gigi serta mulut dari Kampus Trisakti Jakarta, tingkat keasaman saliva (ludah) bakal alami penurunan waktu kita makan. " Saat makan, pH bakal turun dari yang normalnya 6, 8 jadi 4. Tetapi secara perlahan pH nya bakal naik kembali dalam waktu sekitar 20 menit, " tuturnya.
Itu sebabnya, bila kita cepat-cepat menyikat gigi sesudah makan, susunan saliva bakal rusak. Padahal, saliva ini mempunyai manfaat juga sebagai keseimbangan serta menolong sistem pencernaan. Untuk mentralisir kandungan keasaman mulut, drg. Melanie menyarankan supaya kita berkumur dengan air putih sesudah makan. Berkumur dengan air putih sehabis makan, terutama makanan manis serta asam, juga dianjurkan untuk kurangi jumlah bakteri di dalam mulut.
Sebenarnya pemicu napas berbau pada makanan yaitu makanan yang membuahkan uap minyak dengan bau khas yang kuat, misalnya bawang merah serta bawang putih. Ada pula sayuran serta rempah yang dapat menyebabkan napas berbau busuk. Setelah makanan itu diolah, uap makanan itu diserap serta turut dengan peredaran darah serta dibawa ke paru-paru. Disini gas itu turut diembuskan bersama napas.
